



刚入冬,林女士特意为4岁的林林购买了一条可爱的、厚厚的羊绒围巾。
第二天从幼儿园回来后,林林却说:“妈妈我不想戴这个围巾了,痒!”
林女士发现林林的脖子上出现了一些“红疹”,以为是干燥引起的湿疹,便给她涂了药膏和润肤霜。
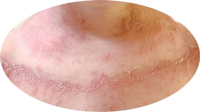
可没过两天,林林脖子上的“红疹”就迅速加重了:皮肤摸上去又粗又糙,红疹变成了一块块的红斑,还蔓延到前胸后背。林林不停喊痒,说疼。
几乎在同一时间,林女士自己也“中招”了。她的腋下、后背和脖子后面,也悄悄出现了成片的红斑和脱屑,伴随着一阵阵明显的灼热感。
“我们俩就像是得了传染病,去了社区医院,也看过我们当地皮肤科,可反反复复两个多月也不见好!”
当天,杭州市第三人民医院儿童皮肤病联合门诊还来了情况十分相似的另一家人。
9岁男孩磊磊的症状比林林更加严重,用他自己的话说,“我仿佛是个四肢僵硬的僵尸”。
3个多月里,最开始泛红发痒的地方,在抓挠、破溃的反复刺激下,长出了一层厚厚的死皮。
更令人意想不到的是,磊磊身上的皮肤症状也开始在爸爸、妈妈身上蔓延——爸爸的腹股沟区域出现发红、脱皮,妈妈的双侧胳膊肘内侧也有了红斑和细碎的皮屑……
一家人先后出现相似的皮肤问题,这让接诊的史俊奇副主任医师和徐俊珠副主任医师立刻警惕起来:这很可能不是单纯的过敏,而是存在某种共同的诱发因素。
排除了真菌感染、银屑病等其他常见皮肤病后,两位医生开始更仔细地询问家庭生活细节:“家里洗衣服用不用消毒液?都加些什么?”
这时,一个共同点浮出水面:林林家和磊磊家为了“更干净”,在洗衣服的时候都会放不少洗衣液和消毒液,而且发病前刚好都更换过。
仔细查看产品成分表后,史俊奇和徐俊珠有了判断,很有可能就是消毒液惹的祸。
通过检查化验,林林和磊磊两家人最终被确诊为颗粒状角化不全,而源头正是消毒液中的苯扎氯铵成分。
徐俊珠介绍,颗粒状角化不全原本是一种相对少见的皮肤病,但近年来,因为过度添加或选择不当衣物消毒液,患者逐渐增多。它主要表现为衣物接触部位的弥漫性红斑、脱皮,像“羊皮纸”般粗糙,可伴烧灼感和触痛,少数还会有脓疱、糜烂,甚至引发全身过敏反应。治疗方面,最重要的就是找到引发物质并立即停用。
被折磨数月,在立即停止使用家中所有可能含有苯扎氯铵的产品和遵医嘱进行药物治疗后,两家人逐渐康复。
史俊奇介绍,苯扎氯铵是一种季铵盐类化合物,属于阳离子表面活性剂。它具有广谱的抗菌活性,在日常生活中,它还可能存在于个人护理产品、家居清洁产品和医疗用品中。
苯扎氯铵的使用有严格要求。当清洗不彻底或浓度过高,残留的苯扎氯铵直接接触到皮肤就容易中招。此外,吸入苯扎氯铵可能会刺激呼吸道,引起咳嗽、气喘等症状。接触到眼睛可能会引起眼部刺激,如灼烧感、刺痛感、流泪、视力模糊。如明确存在苯扎氯铵过敏,记得查看产品包装上的成分表,避开相应产品。
“家中有娃,不少家长都十分关注孩子自身和家中物品卫生,但要注意适度!”史俊奇建议,平时洗衣服其实没必要再加消毒液,许多洗衣液本身就含有一定消毒剂,可以消灭大多数细菌和致病菌。即使有小部分细菌“苟活”,只要在干燥环境下及时晾干,也能抑制细菌的生长繁殖。在家中使用消毒剂,避免高浓度,不要直接接触,并在使用后及时通风。
(为保护当事人隐私,文中患者均为化名)